Revision der instabilen K-TEP – welche Revisionsstrategien sind erfolgreich?
Autor:innen:
Prof. Dr. med. Andreas Roth
Dr. med. Christina Pempe
Prof. Dr. med. Mohamed Ghanem, MBA
Universitätsklinik Leipzig AÖR
Korrespondenz:
Instabile Knietotalendoprothesen können an den Behandler unterschiedlichste Anforderungen stellen. Um das Behandlungsziel und die Wege dorthin zu definieren, sollten die Häufigkeit sowie die unterschiedlichen Ursachen der Instabilität sowie deren klinische Manifestation bekannt sein.
Keypoints
-
Die Top-4-Gründe für eine Revision sind periprothetische Infektionen, darauf folgen aspetische Lockerung, Bewegungseinschränkung und zum Schluss Instabilitäten.
-
Instabilitäten von Knietotalendoprothesen beeinflussen die Zufriedenheit von Patient:innen.
-
Die Balancierung von Extensions- und Flexionsspalt ist von essenzieller Bedeutung für die Vermeidung von Instabilitäten.
Ausmass, Ursachen und Häufigkeit für Instabilitäten von Knietotalendoprothesen
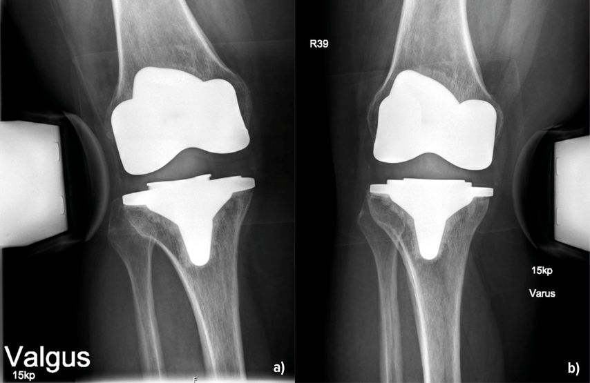
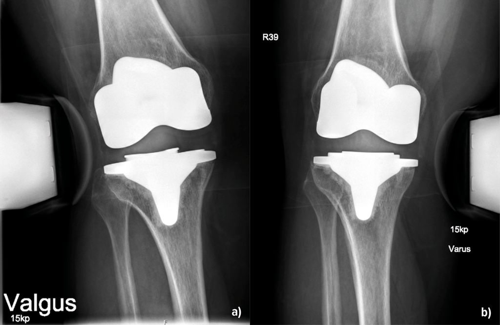
Die Instabilität von Knietotalendoprothesen beeinflusst die Zufriedenheit der Patient:innen und führt häufig zu Revisionseingriffen. In einer grossen retrospektiven Studie mit Erfassung von fast 40000 Patient:innen aus den Jahren 1996–2021 konnten Ergin et al. (2025) Risikofaktoren, welche mit einer Instabilität nach Endoprothetik einhergehen, darstellen. Dazu gehörten ein jüngeres Alter, das weibliche Geschlecht, ein Schlaganfall, tiefe Beinvenenthrombosen, Nickelallergie, Osteoporose und – überraschend – die Sklerodermie. Die Adipositas stellt demnach kein erhöhtes Risiko dar. Über die Details der Ursachen berichtet die Arbeit allerdings nicht, sondern beschreibt diese als multifaktoriell. Jedoch können die Autoren aus der eigenen klinischen Praxis berichten, dass durchaus Unterschiede in Bezug auf das Inlay bestehen. Entweder war dieses primär zu flach oder es ist zu einer Lockerung der Bänder im Verlauf gekommen. Auch der Verschleiss des Inlays über die Zeit spielt erfahrungsgemäss eine Rolle (Abb. 1). Bei der Differenzierung, welches Ausmass einer Varus- oder Valguslaxizität zu einem annehmbaren oder schlechten klinischen Ergebnis führt, fanden Mitsu-Uchi et al. (2025), dass eine mittlere Instabilität von 3–6mm im medialen Kompartiment für ein besseres postoperatives Ergebnis von Bedeutung sei. Eine straffe Implantation mit einer Instabilität von <3mm sowie Instabilitäten von >6mm führten demnach zu niedrigeren Zufriedenheitswerten bzw. Knee-Scores. Somit soll eine mittlere mediale Laxizität für ein besseres postoperatives Ergebnis sorgen, was bereits bei der Implantation Beachtung finden kann. Neben dem klinischen Nachweis ist die gehaltene Röntgenaufnahme geeignet, um den Befund zu verifizieren und zu dokumentieren (Abb.2). Bezüglich der Ursachen für Fehlschläge primärer Knietotalendoprothesen finden sich die Instabilitäten mit einer Häufigkeit von 7% bzw. 4,55% an 3. bzw. 4. Stelle. Vorwiegende Gründe für Revisionen sind hingegen periprothetische Infektionen (22,3% bzw. 47,73%), die aseptische Lockerung (20,5% bzw. 35,23%) und Bewegungseinschränkungen (5,68%) (Datta et al. 2025, Mozella et al. 2024). In einer Arbeit von Poilvache et al. (2025) wurde das Übergewicht als Risikofaktor für Komplikationen nach K-TEP untersucht. Die Hauptursachen für die initiale Revision waren die aseptische Lockerung mit 37%, die Instabilität (29%) und der Abrieb oder Osteolysen (13%). Die Arbeit erbrachte ganz klar, dass ein BMI >40kg/m2 tendenziell mit einer Reoperation korrelierte. Allerdings nicht wegen Instabilität, sondern wegen periprothetischer Infektionen, und das auch nicht signifikant. Der BMI als Ursache einer Instabilität nach Revision wurde hier ausgeschlossen. Brown et al. (2025) beschrieben ein erhöhtes Risiko mit Hinblick auf eine Revision als Folge einer Instabilität oder einer Lockerung bei Fällen, in denen die Femurkomponente grösser als die Tibiakomponente war. Die Autoren empfahlen, primär die Wahl der Prothesengrössen zu beachten, um Instabilitäten vorzubeugen. Auf die Infektionsraten und den anterioren Knieschmerz fand sich in dieser Kohorte kein Einfluss.
Abb. 1:Instabilität infolge eines Verschleisses. Im ap. Röntgenbild (a) sind die vermehrte laterale Aufklappbarkeit und die mediale Verschmälerung des Gelenkspaltes gut sichtbar. Das Inlay weist deutliche Verschleissspuren auf (b). Nach dem Wechsel auf ein neues Inlay in primärer Höhe ist im Röntgenbild der Gelenkspalt wieder gleichmässig dargestellt (c)
Abb. 2: 53-jährige Patientin 14 Monate nach KTEP-Implantation mit klinisch und radiologisch (a und b) nachweisbarer Instabilität – medial stärker als lateral
Balancierung von Flexions- und Streckspalt als Voraussetzung für Stabilität
Die Balancierung von Extensions- und Flexionsspalt ist von essenzieller Bedeutung für die Vermeidung von Instabilitäten. So führt die Resektion des hinteren Kreuzbandes zu einer Flexions-Extensions-Diskrepanz. Dabei vergrössert sich der Flexionsspalt stärker als der Extensionsspalt, wobei die Zunahme des lateralen Flexionsspalts ausgeprägter ist als medial. Daraus resultiert eine mediolaterale Instabilität in Flexion (Kayani et al. 2019), was primär durch die Verwendung von PS-Inlays vermieden werden kann (Zhang et al. 2024). Parisch et al. (2025) konnten in einer konsekutiven Gruppe von 172 Knietotalendoprothesen mit kompletter oder isolierter Flexionsinstabilität nachweisen, dass für die globale Instabilität (Instabilität in Flexion und in Extension) ein Inlaywechsel die geeignetste Therapie ist, für eine isolierte Flexionsinstabilität jedoch der komplette Wechsel. Die «einfache» Instabilität lässt sich somit unter Adressierung von globaler bzw. isolierter Flexionsinstabilität sehr gut behandeln: entweder mit einem Inlaywechsel bei globaler Instabilität unter Verwendung einer höheren Inlay-Komponente (Abb.1) oder durch eine stärkere Kopplung des Knieprothese bei isolierter Flexionsinstabilität.
Cohen et al. (2025) sprachen sich hingegen bei der Behandlung der Instabilität für eine stärkere Kopplung des Inlays aus und konnten damit ein Rezidiv der Instabilität deutlich senken. Aus der Kenntnis heraus, dass der Verlust des hinteren Kreuzbandes zur Instabilität führt, fanden Untersuchungen über die Folge der Verwendung eines intramedullären Nagels bei CR-Knie-Totalendoprothesen statt, weil man hier damit rechnen muss, dass das hintere Kreuzband iatrogen geschädigt wird. Tatsächlich hatten 4,1% der Patient:innen eine postoperative Instabilität, die eine Revision erforderlich machte (Krentz et al. 2025). Somit kann die femorale Instabilität infolge der Schädigung des hinteren Kreuzbandes als mögliche Komplikation nach Verwendung eines retrograden intramedullären Nagels bei periprothetischer Femurfraktur angesehen werden. Um dies zu vermeiden, empfahlen die Autoren, eine Plattenosteosynthese einzusetzen.
Neurologische Grunderkrankungen als Risiko
Mahlouly et al. (2025) beschrieben im Falle einer Charcot-Marie-Tooth-Erkrankung 10 Jahre nach primärer Knie-TEP eine multidirektionale Instabilität. Hier erfolgte der einzeitige Wechsel unter Verwendung einer Rotating-Hinge-Prothese. Die Autoren schlussfolgerten, dass neuromuskuläre Funktionsstörungen zu einem frühen Versagen einer Knietotalendoprothese führen können. Dieser Fall unterstreicht die Bedeutung der präoperativen Planung und der langfristigen Nachsorge. Bei starkem Knochenverlust und Instabilität bietet die Revision zu einer gekoppelten Totalendoprothese eine zuverlässige und dauerhafte Lösung. Sie verbessert die Stabilität bei diesen Fällen. Die Autoren empfehlen allerdings, bei neurologischen Erkrankungen primär ein Rotating-Hinge-System zu verwenden.
Gekoppelte Systeme zur Prävention erneuter Instabilität
Eine Möglichkeit für die verbesserte Kopplung ist die Verwendung einer Revisions-KTEP mit einem Varus-Valgus-Constrained-Design (VVC). Hippalgaongar et al. (2025) fanden eine Instabilität nach primärer Implantation bei 15,1% ihrer Fälle (3. Stelle) und konnten unter Verwendung von VVC-Prothesen postoperativ eine signifikante Verbesserung der klinischen Scores nachweisen. Eine weitere Option ist die Verwendung von CCK-Prothesen (Codylar Constrained Knee). Greeberg et al. (2025) beschrieben eine Instabilitätsrate von 13%, wobei die Instabilität als vierthäufigste Ursache für Revisionen gesehen wurde. Im Verlauf von 5, 10 und 20 Jahren nach der Revision mit einer CCK-Prothese stellten Infektionen (54,5%) und aseptische Lockerungen (31,8%) die häufigsten Revisionsursachen dar. Eine erneute Instabilität spielte eine untergeordnete Rolle. Dass der Einsatz gekoppelter Revisionssysteme zur Versorgung von Fehlschlägen keinen Nachteil birgt, zeigten Resultate von Darden et al. (2025). Ein Vergleich zwischen primärer Knie-TEP und aseptischer Revisions-KTEP erzielte in beiden Gruppen nach einem mittleren Follow-up von 27,1 Monaten eine klinische Verbesserung sowie vergleichbare Schmerzscores. Die Zufriedenheit nach primärer K-TEP und nach Revisions-KTEP waren damit äquivalent. Die Autoren schlussfolgerten, dass die Instabilität nach einer Revision unter Verwendung entsprechender gekoppelter Systeme zu vermeiden ist.
Andere Ursachen erfordern andere Massnahmen
Instabilitäten von Kniegelenken aus den genannten Gründen lassen sich somit sehr gut behandeln. Sie treten allerdings auch in Form anderer Pathologien auf. So fanden die Autoren dieses Artikels im eigenen Patientenkollektiv Brüche der Achsen, Dekonnektierungen zwischen Verlängerungsstiel und Femurkomponente sowie Luxationen des Femurteils aus dem Tibiateil und nicht zuletzt Lockerungen der Prothese. In Abhängigkeit von vorhandenen Defekten kann dann, unter Verwendung eines distalen Femurersatzes, einer Durchsteckprothese oder eines kompletten Femurersatzes oder aber auch eines Arthrodesenagels, die Indikation stark über die genannten Möglichkeiten hinaus erweitert werden.
Fazit
Factbox
Risikofaktoren, die mit einer Instabilität nach Endoprothetik einhergehen, sind ein jüngeres Alter, das weibliche Geschlecht, ein Schlaganfall, tiefe Beinvenenthrombosen, Nickelallergie, Osteoporose und – überraschend - die Sklerodermie.Zusammenfassend lässt sich sagen, dass Instabilitäten von Knietotalendoprothesen häufiger bei jungem Alter und weiblichem Geschlecht auftreten. Die Ursachen können in einer primär zu flach gewählten Inlay-Höhe, einer Dehnung der Bänder, dem Verlust des hinteren Kreuzbandes oder in einem Verschleiss mit Abnahme der Inlay-Höhe liegen. Die einfachste Versorgung erfolgt in Form eines Inlaywechsels auf ein höheres Inlay bei globaler Instabilität. Ein höherer Kopplungsgrad wird verwendet bei Flexionsinstabilität in Form von VVC-Systemen. Bei ausgeprägten Instabilitäten oder neurologischen Begleiterkrankungen kommen Rotating-Hinge, Fixed-Hinge, distaler Femurersatz bis kompletter Femurersatz und sogar der Arthrodesenagel zum Einsatz. Damit sind gute bis sehr gute Ergebnisse zu erreichen.
Literatur:
beim Verfasser
Das könnte Sie auch interessieren:
Drogen und Anabolika: vom Sportplatz auf die Intensivstation
Anabolika und Drogen sind im Sport verboten. Athlet:innen nehmen dennoch immer wieder solche Substanzen ein – und riskieren neben Disziplinarverfahren vor allem auch ihre Gesundheit oder ...
Screening psychosozialer Faktoren in der Schmerzmedizin
Psychosoziale Faktoren beeinflussen in Interaktion mit biologischen Faktoren die Entstehung, Chronifizierung und Aufrechterhaltung von Schmerzen und sollten deshalb frühzeitig erfasst ...
Herpes zoster im Gesicht
Während ein Herpes zoster im Bereich des Thorax meist gut hausärztlich behandelt werden kann, empfiehlt sich bei einem Auftreten im Kopf-Hals-Bereich meist die interdisziplinäre ...